关闭
新闻中心
您当前的位置:首页 > 新闻中心 > 新闻动态 > 详情
【传承】2022年4月第三周王氏正骨手法复位
发布时间:2022-04-19 | 来源:西昌王氏骨科专科医院 | 浏览:40
分享到:

  西昌王氏骨科专科医院由王氏骨科世家第八代传人王文祥、文丽萍夫妇创办,现为攀西地区唯一一所二级甲等骨科专科医院。创始人之一王文祥被《川派中医药源流与发展》一书收录为骨科(推拿)学派著名医家;王文祥传承工作室为四川省中医药管理局四川中医药流派工作室建设单位。西昌王氏骨科坚持中医为主,中西医并重的治疗方案,为广大患者提供简、便、廉、效的医疗服务。医院门诊部为患者提供24小时接诊服务。咨询电话:2222120

 

2022年4月第3周


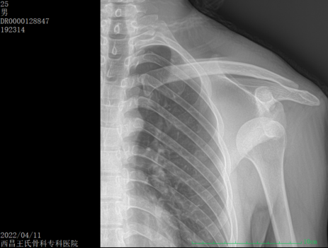
  手法复位病例一:肩关节脱位

 

image.png image.png

复位前                                复位后

    

  手法复位病例二:患儿13岁,尺桡骨骨折。

 

image.png image.png

复位前                                      复位后

 

  手法复位病例三:肘关节脱位

 

image.png image.png

复位前                                  复位后

  

  手法复位病例四:第四、五掌骨头骨折,凌晨0点来院行手法复位。

 

image.png image.png

复位前                                   复位后

 

  手法复位病例五:患者脑梗塞后遗症、半身偏瘫;高血压糖尿病。尺桡骨骨折手法复位,远折端稍向背侧移位。

 

image.png image.png

复位前                                   复位后

 


image.png    image.png 

上一篇

【传承】2022年4月第三周(4.18-4.24)王氏正骨手法复位

2022-04-25
下一篇

【传承】2022年4月第二周王氏正骨手法复位

2022-04-11
FreeMarker template error (DEBUG mode; use RETHROW in production!): For "." left-hand operand: Expected a hash, but this has evaluated to a string (wrapper: f.t.SimpleScalar): ==> asx [in template "templates/www.scstyjryy.cn/zh_CN/pc/dqgzxq.html" at line 86, column 54] ---- FTL stack trace ("~" means nesting-related): - Failed at: #if asx.parent?? [in template "templates/www.scstyjryy.cn/zh_CN/pc/dqgzxq.html" at line 86, column 49] ---- Java stack trace (for programmers): ---- freemarker.core.NonHashException: [... Exception message was already printed; see it above ...] at freemarker.core.Dot._eval(Dot.java:48) at freemarker.core.Expression.eval(Expression.java:81) at freemarker.core.ExistsExpression._eval(ExistsExpression.java:49) at freemarker.core.Expression.eval(Expression.java:81) at freemarker.core.Expression.evalToBoolean(Expression.java:145) at freemarker.core.Expression.evalToBoolean(Expression.java:131) at freemarker.core.IfBlock.accept(IfBlock.java:49) at freemarker.core.Environment.visit(Environment.java:326) at freemarker.core.Environment.visit(Environment.java:332) at freemarker.core.Environment.process(Environment.java:305) at freemarker.template.Template.process(Template.java:378) at org.springframework.web.servlet.view.freemarker.FreeMarkerView.processTemplate(FreeMarkerView.java:367) at org.springframework.web.servlet.view.freemarker.FreeMarkerView.doRender(FreeMarkerView.java:284) at org.springframework.web.servlet.view.freemarker.FreeMarkerView.renderMergedTemplateModel(FreeMarkerView.java:234) at org.springframework.web.servlet.view.AbstractTemplateView.renderMergedOutputModel(AbstractTemplateView.java:167) at org.springframework.web.servlet.view.AbstractView.render(AbstractView.java:303) at org.springframework.web.servlet.DispatcherServlet.render(DispatcherServlet.java:1282) at org.springframework.web.servlet.DispatcherServlet.processDispatchResult(DispatcherServlet.java:1037) at org.springframework.web.servlet.DispatcherServlet.doDispatch(DispatcherServlet.java:980) at org.springframework.web.servlet.DispatcherServlet.doService(DispatcherServlet.java:897) at org.springframework.web.servlet.FrameworkServlet.processRequest(FrameworkServlet.java:970) at org.springframework.web.servlet.FrameworkServlet.doGet(FrameworkServlet.java:861) at javax.servlet.http.HttpServlet.service(HttpServlet.java:635) at org.springframework.web.servlet.FrameworkServlet.service(FrameworkServlet.java:846) at javax.servlet.http.HttpServlet.service(HttpServlet.java:742) at org.apache.catalina.core.ApplicationFilterChain.internalDoFilter(ApplicationFilterChain.java:231) at org.apache.catalina.core.ApplicationFilterChain.doFilter(ApplicationFilterChain.java:166) at org.apache.tomcat.websocket.server.WsFilter.doFilter(WsFilter.java:52) at org.apache.catalina.core.ApplicationFilterChain.internalDoFilter(ApplicationFilterChain.java:193) at org.apache.catalina.core.ApplicationFilterChain.doFilter(ApplicationFilterChain.java:166) at org.springframework.boot.web.filter.ApplicationContextHeaderFilter.doFilterInternal(ApplicationContextHeaderFilter.java:55) at org.springframework.web.filter.OncePerRequestFilter.doFilter(OncePerRequestFilter.java:107) at org.apache.catalina.core.ApplicationFilterChain.internalDoFilter(ApplicationFilterChain.java:193) at org.apache.catalina.core.ApplicationFilterChain.doFilter(ApplicationFilterChain.java:166) at org.apache.shiro.web.servlet.ProxiedFilterChain.doFilter(ProxiedFilterChain.java:61) at org.apache.shiro.web.servlet.AdviceFilter.executeChain(AdviceFilter.java:108) at org.apache.shiro.web.servlet.AdviceFilter.doFilterInternal(AdviceFilter.java:137) at org.apache.shiro.web.servlet.OncePerRequestFilter.doFilter(OncePerRequestFilter.java:125) at org.apache.shiro.web.servlet.ProxiedFilterChain.doFilter(ProxiedFilterChain.java:66) at org.apache.shiro.web.servlet.AbstractShiroFilter.executeChain(AbstractShiroFilter.java:450) at org.apache.shiro.web.servlet.AbstractShiroFilter$1.call(AbstractShiroFilter.java:365) at org.apache.shiro.subject.support.SubjectCallable.doCall(SubjectCallable.java:90) at org.apache.shiro.subject.support.SubjectCallable.call(SubjectCallable.java:83) at org.apache.shiro.subject.support.DelegatingSubject.execute(DelegatingSubject.java:387) at org.apache.shiro.web.servlet.AbstractShiroFilter.doFilterInternal(AbstractShiroFilter.java:362) at org.apache.shiro.web.servlet.OncePerRequestFilter.doFilter(OncePerRequestFilter.java:125) at org.apache.catalina.core.ApplicationFilterChain.internalDoFilter(ApplicationFilterChain.java:193) at org.apache.catalina.core.ApplicationFilterChain.doFilter(ApplicationFilterChain.java:166) at org.apache.shiro.web.servlet.AdviceFilter.executeChain(AdviceFilter.java:108) at org.apache.shiro.web.servlet.AdviceFilter.doFilterInternal(AdviceFilter.java:137) at org.apache.shiro.web.servlet.OncePerRequestFilter.doFilter(OncePerRequestFilter.java:125) at org.apache.catalina.core.ApplicationFilterChain.internalDoFilter(ApplicationFilterChain.java:193) at org.apache.catalina.core.ApplicationFilterChain.doFilter(ApplicationFilterChain.java:166) at com.alibaba.druid.support.http.WebStatFilter.doFilter(WebStatFilter.java:123) at org.apache.catalina.core.ApplicationFilterChain.internalDoFilter(ApplicationFilterChain.java:193) at org.apache.catalina.core.ApplicationFilterChain.doFilter(ApplicationFilterChain.java:166) at org.springframework.boot.actuate.trace.WebRequestTraceFilter.doFilterInternal(WebRequestTraceFilter.java:110) at org.springframework.web.filter.OncePerRequestFilter.doFilter(OncePerRequestFilter.java:107) at org.apache.catalina.core.ApplicationFilterChain.internalDoFilter(ApplicationFilterChain.java:193) at org.apache.catalina.core.ApplicationFilterChain.doFilter(ApplicationFilterChain.java:166) at org.tuckey.web.filters.urlrewrite.RuleChain.handleRewrite(RuleChain.java:176) at org.tuckey.web.filters.urlrewrite.RuleChain.doRules(RuleChain.java:145) at org.tuckey.web.filters.urlrewrite.UrlRewriter.processRequest(UrlRewriter.java:92) at org.tuckey.web.filters.urlrewrite.UrlRewriteFilter.doFilter(UrlRewriteFilter.java:389) at org.apache.catalina.core.ApplicationFilterChain.internalDoFilter(ApplicationFilterChain.java:193) at org.apache.catalina.core.ApplicationFilterChain.doFilter(ApplicationFilterChain.java:166) at org.springframework.web.filter.RequestContextFilter.doFilterInternal(RequestContextFilter.java:99) at org.springframework.web.filter.OncePerRequestFilter.doFilter(OncePerRequestFilter.java:107) at org.apache.catalina.core.ApplicationFilterChain.internalDoFilter(ApplicationFilterChain.java:193) at org.apache.catalina.core.ApplicationFilterChain.doFilter(ApplicationFilterChain.java:166) at org.springframework.web.filter.HttpPutFormContentFilter.doFilterInternal(HttpPutFormContentFilter.java:105) at org.springframework.web.filter.OncePerRequestFilter.doFilter(OncePerRequestFilter.java:107) at org.apache.catalina.core.ApplicationFilterChain.internalDoFilter(ApplicationFilterChain.java:193) at org.apache.catalina.core.ApplicationFilterChain.doFilter(ApplicationFilterChain.java:166) at org.springframework.web.filter.HiddenHttpMethodFilter.doFilterInternal(HiddenHttpMethodFilter.java:81) at org.springframework.web.filter.OncePerRequestFilter.doFilter(OncePerRequestFilter.java:107) at org.apache.catalina.core.ApplicationFilterChain.internalDoFilter(ApplicationFilterChain.java:193) at org.apache.catalina.core.ApplicationFilterChain.doFilter(ApplicationFilterChain.java:166) at org.springframework.web.filter.CharacterEncodingFilter.doFilterInternal(CharacterEncodingFilter.java:197) at org.springframework.web.filter.OncePerRequestFilter.doFilter(OncePerRequestFilter.java:107) at org.apache.catalina.core.ApplicationFilterChain.internalDoFilter(ApplicationFilterChain.java:193) at org.apache.catalina.core.ApplicationFilterChain.doFilter(ApplicationFilterChain.java:166) at org.springframework.boot.actuate.autoconfigure.MetricsFilter.doFilterInternal(MetricsFilter.java:106) at org.springframework.web.filter.OncePerRequestFilter.doFilter(OncePerRequestFilter.java:107) at org.apache.catalina.core.ApplicationFilterChain.internalDoFilter(ApplicationFilterChain.java:193) at org.apache.catalina.core.ApplicationFilterChain.doFilter(ApplicationFilterChain.java:166) at org.apache.catalina.core.StandardWrapperValve.invoke(StandardWrapperValve.java:198) at org.apache.catalina.core.StandardContextValve.invoke(StandardContextValve.java:96) at org.apache.catalina.authenticator.AuthenticatorBase.invoke(AuthenticatorBase.java:478) at org.apache.catalina.core.StandardHostValve.invoke(StandardHostValve.java:140) at org.apache.catalina.valves.ErrorReportValve.invoke(ErrorReportValve.java:80) at org.apache.catalina.core.StandardEngineValve.invoke(StandardEngineValve.java:87) at org.apache.catalina.connector.CoyoteAdapter.service(CoyoteAdapter.java:342) at org.apache.coyote.http11.Http11Processor.service(Http11Processor.java:799) at org.apache.coyote.AbstractProcessorLight.process(AbstractProcessorLight.java:66) at org.apache.coyote.AbstractProtocol$ConnectionHandler.process(AbstractProtocol.java:861) at org.apache.tomcat.util.net.NioEndpoint$SocketProcessor.doRun(NioEndpoint.java:1455) at org.apache.tomcat.util.net.SocketProcessorBase.run(SocketProcessorBase.java:49) at java.util.concurrent.ThreadPoolExecutor.runWorker(ThreadPoolExecutor.java:1149) at java.util.concurrent.ThreadPoolExecutor$Worker.run(ThreadPoolExecutor.java:624) at org.apache.tomcat.util.threads.TaskThread$WrappingRunnable.run(TaskThread.java:61) at java.lang.Thread.run(Thread.java:748)